Il tuo nuovo sorriso con All-on-4® – preciso, sicuro e con 25 anni di esperienza
Oggi, più che mai, la salute fisica ed emotiva e il senso di soddisfazione personale stanno diventando fondamentali. Tutti aspiriamo ad essere più soddisfatti, felici e belli. In questo processo, la fiducia in sé stessi gioca un ruolo importante, e molto spesso essa deriva dal nostro senso generale di benessere – incluso lo stato di salute e l’aspetto dei denti.
La salute dentale e l’estetica del sorriso sono una responsabilità condivisa. Insieme a voi – i nostri pazienti – cerchiamo la soluzione migliore, personalizzando completamente il percorso secondo le vostre esigenze e aspettative. Esistono sempre diverse opzioni terapeutiche, che dipendono da vari fattori, ma l’unico limite reale può essere di natura medica.
La nostra clinica e il nostro team sono da oltre 25 anni riconosciuti per la dedizione all’implantologia dentale. Siamo stati tra i primi nella regione ad adottare questa forma di terapia. Abbiamo imparato e continuiamo ad apprendere dai migliori esperti internazionali e, da molti anni, formiamo attivamente anche altri colleghi. Seguiamo le novità, applichiamo soluzioni sicure e collaudate e le integriamo nella nostra pratica quotidiana. Una delle soluzioni che consigliamo spesso è la terapia All-on-4® – e la nostra clinica è tra le poche riconosciute come Center of Excellence per questo metodo (scopri di più sul Center of Excellence qui).
Quando consigliamo la terapia All-on-4®?
- Ai pazienti che già portano protesi (superiore e/o inferiore) e che, per vari motivi, non riescono ad abituarsi ad esse.
- Ai pazienti che hanno ancora i propri denti, ma che devono essere estratti a causa della parodontite o di altre condizioni. Questa è spesso una situazione emotivamente difficile, poiché implica dire addio ai propri denti naturali. Tuttavia, grazie alle tecnologie moderne, una delle soluzioni più rapide ed efficaci è proprio All-on-4®.

Cos’è All-on-4®?
Il protocollo All-on-4®, sviluppato nel 1998 dal Dr. Paulo Malo, prevede:
- Inserimento di 4 impianti – due diritti e due inclinati
- Applicazione immediata dei monconi protesici e presa dell’impronta al momento dell’inserimento
- Realizzazione di un ponte provvisorio e inserimento in bocca entro 24 ore. Questo ponte in acrilico viene avvitato direttamente sugli impianti, permettendo al paziente di avere denti fissi già nello stesso giorno.
Cosa possiamo offrire OGGI di PIÙ e MEGLIO rispetto alla classica terapia All-on-4®?
- Materiali e tecnologie protesiche avanzate che permettono diverse soluzioni estetiche ed economiche. I lavori protesici su All-on-4® possono variare sensibilmente.
- Tecnologia digitale e intelligenza artificiale – oggi inseriamo gli impianti con sistemi computer-guidati, tramite navigazione dinamica. Questo aumenta la precisione, la sicurezza e il risultato estetico. Non sono necessarie dime chirurgiche né ausili aggiuntivi. Grazie a questa tecnologia, gli impianti vengono posizionati nella sede ottimale per ogni paziente.
- Durata più breve della terapia e minor numero di visite – la terapia All-on-4® può essere completata con un numero minimo di appuntamenti. Il nostro team è perfettamente coordinato per rendere la fase chirurgica e il tempo sulla poltrona il più breve e confortevole possibile. L’inserimento degli impianti e del ponte provvisorio richiede solo poche ore.

Come si svolge il processo della terapia All-on-4®?
- Prima visita: diagnosi dettagliata, colloquio con il paziente e pianificazione personalizzata della terapia. In questa fase vengono definiti tutti gli aspetti fondamentali e risposte a ogni domanda.
- Seconda visita – l’intervento All-on-4®:
Se viene scelta la metodologia digitale All-on-4®, gli impianti vengono inseriti tramite navigazione dinamica (dispositivo X-Guide). Subito dopo l’intervento si realizza il ponte provvisorio.
In condizioni ottimali, l’intera procedura può durare meno di 4 ore!
- Terza visita dopo 3–6 mesi: Quando gli impianti sono completamente integrati, il paziente torna per la realizzazione del lavoro definitivo. La scelta del materiale e del design dipende dal singolo caso, dai desideri estetici e dalle possibilità economiche.
Un sorriso che cambia tutto – l’esperienza della nostra paziente dopo la terapia All-on-4®
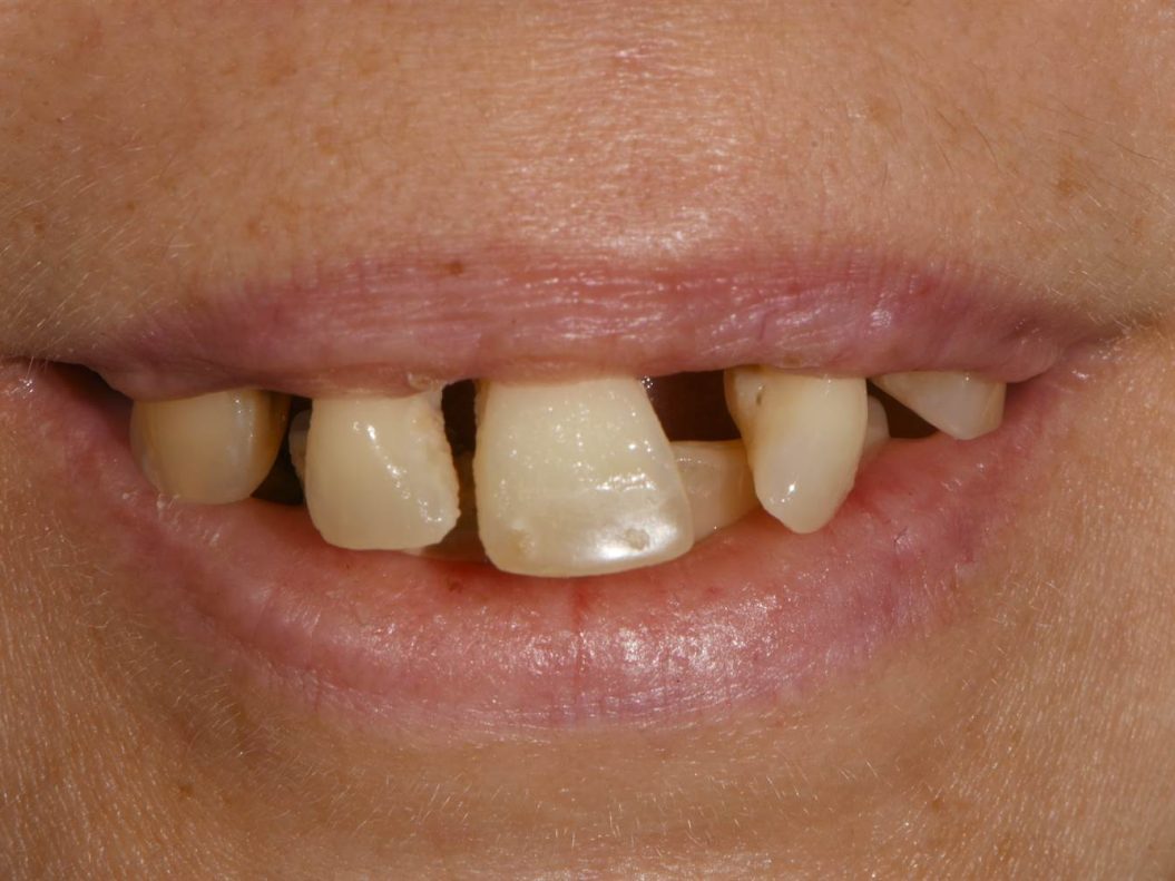
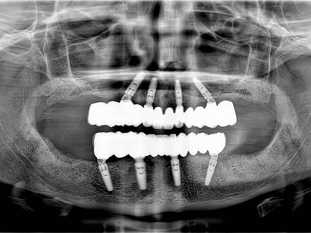
Nella galleria fotografica seguente potete vedere la trasformazione del sorriso – si tratta di una paziente reale della nostra clinica, a cui sono stati inseriti i nuovi denti in poche ore.
- Radiografia prima dell’intervento
- Fotografia dello stato iniziale
- Pianificazione digitale del nuovo sorriso
- Lavoro protesico finale
- Radiografia post-operatoria
- Fotografie finali del nuovo sorriso
Esperienza della paziente:
“La mia esperienza presso la clinica del Dr. Jelušić ha superato ogni mia aspettativa. Il team è stato professionale e preciso – ma ciò che per me ha contato di più è stata la loro straordinaria gentilezza. Mi sono sentita come a casa. Con il loro aiuto ho ritrovato la fiducia in me stessa. Un grande grazie a ogni membro del team.”
(S.Z. / SLO)
In conclusione, dopo quasi due decenni di esperienza clinica con la terapia All-on-4®, oggi possiamo offrire ai nostri pazienti interventi più confortevoli, recuperi più rapidi, risultati più prevedibili e un’estetica superiore… tutto questo è il frutto della nostra esperienza e delle maggiori possibilità tecnologiche di cui disponiamo. E, naturalmente, della nostra volontà di soddisfare sempre al massimo i nostri pazienti.
Giornate a porte aperte All-on-4®
Unisciti a noi per le giornate a porte aperte dedicate ad All-on-4®, dal 15 al 25 luglio 2025, e approfitta della consulenza gratuita e del piano terapeutico personalizzato con il Dr. Jelušić. Scopri come ottenere un nuovo sorriso in poche ore, con le tecnologie più avanzate al mondo e un recupero più breve rispetto agli impianti tradizionali.
Un solo intervento + minor recupero = nuovo sorriso
_________
Per maggiori informazioni, contattaci:
+385 51 718 050
clinic@jelusic.com
















